Home
Topics
JXL Topic
CN
/
EN
Slides Library
2025苏州妇科病理病理读片
No.2
Browse First (Scanned by Kfbio)
Please login to browse the slider
0
0
89
Scanned by
Kfbio
Material:
Female, Age 3
Info:
患儿1周前无明显诱因下出现呕吐,为阵发性,3天后患儿出现左侧下肢无力,走路跛行,无发热,无抽搐,查头颅CT示:左侧额叶颅内占位性病变,门诊拟“颅内占位性病变”收治入院。
Sample:
右额叶颅内占位
Grossly:
碎组织一堆共计7*5*2.5cm,未见包膜,切面灰白色实性质脆。
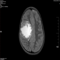
Imaging:
(Click to enlarge)
右侧额叶可见一类圆形混杂信号影,边缘光整,最大截面约59.5mm*56.8mm,中线结构明显左偏,增强后,可见边缘强化。右侧额叶占位;胶质瘤?其他?
Discussion
Scan to download our APP
Discussion