| 临床资料: | 男, 70岁 |
|---|---|
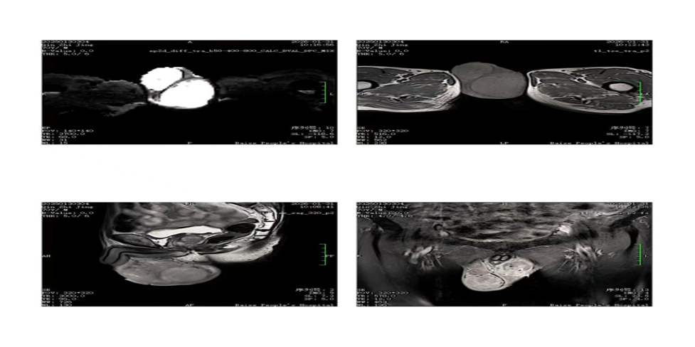
| 患者详情: | 主诉:因双下肢疼痛5月余,发现胫腓骨骨质破坏9天入院。 现病史:患者自诉5月前无明显诱因下出现双下肢疼痛,为阵发性隐痛,持续时间为数分钟至1小时,疼痛科自行缓解,近日自觉疼痛症状加重,于2026-01-19到巴马县人民医院就诊,完善双下肢DR提示双侧胫腓骨骨质破坏,现进一步诊治来我院就诊,完善双下肢DR提示双侧胫腓骨骨质破坏,拟”骨继发恶性肿瘤“入院。 专科情况:双侧胫腓骨压痛及触动;双侧睾丸增大,左侧睾丸肿物约7CM×5CM,右侧睾丸肿物约4CM×4CM。 实验室检查:血常规、肝肾功能、电解质未见异常。 为进一步明确肿物病变性质,常规局部麻醉后用一次性18G全自动活检针在超声引导下穿刺双侧睾丸病灶,引出四条索状组织送病检。 |
| 医院机构: | 百色市人民医院 |
| 影像学检查:(点击查看大图) | 下腹部MRI:双侧睾丸肿大 |


苏公网安备 32011402011742
网友讨论