登录
|
注册
切片库
2017金域杯第二届数字病理诊断挑战赛第一轮比赛
读片号1
:
浏览切片一
临床资料:
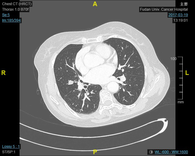
女, 60岁, 行胸部CT示右肺中叶类圆形肿块,大小1.4*1.2cm。2017年3月于我院行右肺中叶切除术及肺门淋巴结清扫。
患者详情:
主诉胸闷不适一月余。
大体所见:
巨检:送检右肺中叶,肺叶组织大小13.5*8.0*3.0cm,距支气管切缘1.5cm见一结节,大小1.3*1.2*1.1cm,质中界清,距胸膜0.2cm。
影像学检查:
(点击查看大图)
抱歉,评论功能已关闭