| 主办单位: |
河南省医学会、河南省医学会病理学分会、中华医学会病理学分会胸部疾病学组(协作组) |
| 临床资料: |
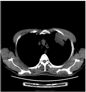
男, 67岁 既往“血小板增多症”2年,控制效果可。否认其他病史。影像学:CT示左肺上叶前段占位,大小5.5*5cm,破坏左侧第一前肋骨。手术所见:左肺上叶前段肿物,直径约5cm,同前胸壁关系密切并粘连,部分累及胸膜,遂行左肺上叶切除术。 |
| 患者详情: |
自感胸闷不适一月余,无发热、胸痛、咳嗽、咳痰等症状。 |
| 医院机构: |
青岛大学附属医院 |
| 大体所见: |
大体检查:送检左肺上叶,大小18*16*5cm,距离支气管断端4cm于前段见一结节状肿物,范围5*4.5cm,切面灰白质脆,肉眼见累及肺被膜。沿支气管剖开,管腔通畅,余肺多切面切开未见特殊。显微镜观察:HE切片一枚 |
| 影像学检查:(点击查看大图) |
  |
网友讨论