| 主办单位: |
河南省医学会、河南省医学会病理学分会、中华医学会病理学分会胸部疾病学组(协作组) |
| 临床资料: |
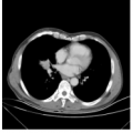
男, 56岁 于外院住院抗炎治疗,行支气管镜检查示:右肺中叶支气管内肿物,病理回报为腺癌。为进一步诊治来我院。辅助检查:气管镜(外院):右肺中叶外侧段开口处肿物。影像学:肺CT示双肺炎,右肺占位性病变。临床诊断:右肺癌,行右肺中叶叶切除术。 |
| 患者详情: |
咳嗽、咳黄痰、伴发热半月余,无明显胸痛及呼吸困难。 |
| 医院机构: |
抚顺中心医院 |
| 大体所见: |
大体检查:肺叶组织体积约13*10*4cm,剪开,气管内见一肿物,肿物体积约1.5*2*2cm,切面灰白色,与周围界限不清。显微镜观察:HE切片二枚(31681:外院气管镜取材,140404-6:肺大体标本肿物) |
| 影像学检查:(点击查看大图) |
          |
网友讨论