请登录后浏览切片
收藏 0 讨论 0 浏览 2319
本切片由江丰扫描 感谢支持
主办单位: 河南省医学会、河南省医学会病理学分会、中华医学会病理学分会胸部疾病学组(协作组)
临床资料: 女, 24岁
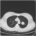
影像学:左肺上叶见类圆形肿块影,大小约2.9cm×2.6cm,边界清晰,密度均匀,CT值约49Hu,增强后病灶周围可见肺静脉包绕。
患者详情: 体检发现左肺占位。
医院机构: 同济大学附属东方医院
大体所见: 大体检查:"左肺上叶"部分肺叶切除标本:肺组织15×10×10cm,胸膜完整,切面见灰黄色结节,3.5×3×2cm,边界清,切面实性,质中,局部略透明。显微镜观察:HE切片一枚
影像学检查:(点击查看大图)  

网友讨论

扫描左侧二维码下载客户端