| 主办单位: | 安徽省医师协会病理医师分会、中华医学会病理分会骨与软组织学组、中国抗癌协会肉瘤专业委员会病理学组、 中国抗癌协会肿瘤病理专业委员会骨和软组织肿瘤学组、中国病理学网 |
|---|---|
| 承办单位: | 中国科学技术大学附属第一医院(安徽省立医院)病理科 |
| 临床资料: | 女, 59岁 10年前因“子宫内膜样腺癌及卵巢透明细胞癌”于我院行“全子宫+双附件切除术。 |
| 患者详情: | 以“左小腿软组织肉瘤切除术后1月复发半月”为主诉入院。1月前因“左小腿肿物”于外院手术切除,术后病理示:(左小腿肿物)高级别软组织肉瘤,考虑粘液性纤维肉瘤(高级别)。送我院会诊。 |
| 医院机构: | 福建省肿瘤医院 |
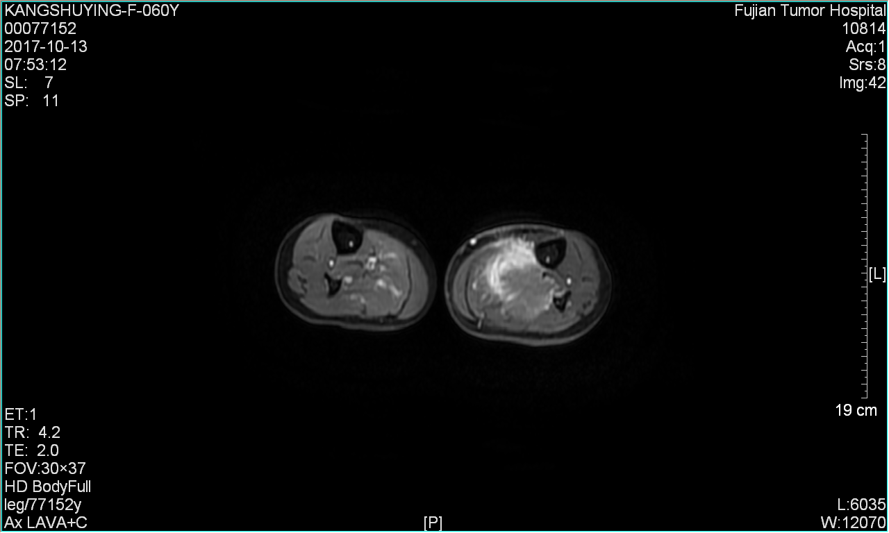
| 影像学检查:(点击查看大图) | 肺CI示:双肺多发大小不一结节,考虑双肺转移瘤。 MRI示:左小腿软组织肉瘤术后,左小腿内后肌群内见不规则软组织肿块,大小约4.5cm*5.4cm*11.5cm;呈T1、T2混杂高低信号,增强后强化明显不均等,边缘不规则,紧贴局部骨膜。 |



苏公网安备 32011402011742
网友讨论