| 主办单位: |
中华医学会病理学分会、中国抗癌协会肿瘤病理专业委员会、中国抗癌协会肉瘤专业委员会、复旦大学附属肿瘤医院、福建医科大学附属第一医院 |
| 临床资料: |
女, 46岁
|
| 患者详情: |
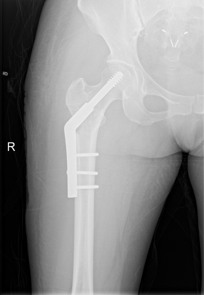
因“右髋部酸痛伴跛行3月余”于2019年10月入院。患者3个月前在行走时出现右髋部疼痛,未予重视,未予特殊治疗,休息后自行缓解。近3月来,上述症状反复出现并渐加重,伴行走或负重时跛行,无明显下蹲困难。于我院就诊。临床影像学检查后行右侧股骨近端病变切开活检,术后病理考虑纤维结构不良伴囊性变及低度恶性肉瘤变,建议待肿块完整切除术后明确。于是行右侧股骨近端肿瘤瘤段切除+假体置换术(病理号1925760)。
既往史:患者2013年10月在我院行右股骨近端肿瘤刮除及植骨内固定术(病理号1335019);2015年7月行内固定取出术(病理号1511938)。
影像学检查:
X线改变(2019年):右侧股骨近端局部骨密度不均匀,见大小不等囊性低密度区。
CT(2019年)示:“右侧股骨上段骨质异常密度影,皮质局限性变薄,溶骨性骨破坏。结合病史考虑骨纤维结构不良术后改变,建议必要时MRI检查”。
右侧髋关节MRI(2019年)显示,右侧股骨上段及股骨头不规则增粗,内见团块状异常信号影,T1W1以低信号为主,T2W1呈不均匀高信号,增强不均匀,明显强化,局部骨皮质不连续,内缘欠光整,结合病史考虑纤维结构不良术后改变,不除外恶变可能。 |
| 医院机构: |
江苏省人民医院 |
| 大体所见: |
巨检:附股骨大转子及软组织的股骨近端标本,大小14×12×5.5cm,股骨长14cm,断端直径2.7cm,股骨最粗处直径5.5cm,上附梭皮大小8×2cm。距切缘4.5cm骨骺、干骺、骨干骨髓腔内见灰白灰黄肿块,范围约8×4cm,中央囊性变,囊变区大小3.4×2.5cm,部分囊腔内见骨水泥填塞。肉眼见局灶肿块浸润骨皮质。 |
| 影像学检查:(点击查看大图) |
 |
网友讨论