请登录后浏览切片
收藏 0 讨论 2 浏览 2388
本切片由3DHISTECH扫描 感谢支持
临床资料: 女, 9岁
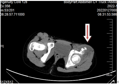
患者详情: 患儿1月余前无明显诱因下出现左侧髋关节疼痛,不伴发热及皮疹,行走困难,当地医院完善髋关节B超提示左侧髋部实性团状伴钙化,骨盆MRI提示左侧髂腰肌肿胀伴周围渗出灶,左髋关节少量积液。 影像: MRI示:左侧髂肌,髂腰明显肌肿胀伴信号异常:炎性改变?占位性改变?左股直肌及缝匠肌及左髂骨少许压脂高信号;左髋少许积液; 增强CT示:左侧髂腰肌至左大腿根部包块:占位(软骨来源?)?炎性改变?脉管畸形?其他? CT: 左侧髂腰肌至左大腿根部前群肌肉组织肿胀、肌间隙模糊不清,内见不规则稍低密度影子,病灶内可见斑片状致密影,临近髂骨皮质不光整,增强后可见不均匀轻中度强化,其内可见多发迂曲血管影。左侧髋关节内见少量积液影。 手术情况:术中诊断:左下肢皮下肿物:骨肉瘤?软骨肉瘤?见瘤体位于肌肉深处,包绕髋关节,内含鱼肉样组织,无明显包膜,于正常组织和瘤体的界限处钝性分离组织,电凝周围的滋养血管,见肿物浸润侵犯髂骨外侧,部分髂骨质地脆,表面呈虫蚀样改变,予刮除骨质表面异常组织,创面骨蜡止血。肉眼下切除大部分病灶组织。
取材部位: 肌肉深处
医院机构: 南京市儿童医院
大体所见: 灰白色结节样肿物2*1.5*1cm,境界较清,质硬。表面附着肌肉组织2*1*1cm。
免疫组化: 阳性:SATB2、Vimentin 、Desmin (表面横纹肌+)、CD34(血管+)、LCA(炎细胞+)、Ki67(25%) 阴性:SMA 、Myogenin、S-100
影像学检查:(点击查看大图)
诊断意见:
登录后可以查看

网友讨论

扫描左侧二维码下载客户端