请登录后浏览切片
收藏 0 讨论 2 浏览 1884
本切片由徕卡/Aperio扫描 感谢支持
临床资料: 女, 2岁
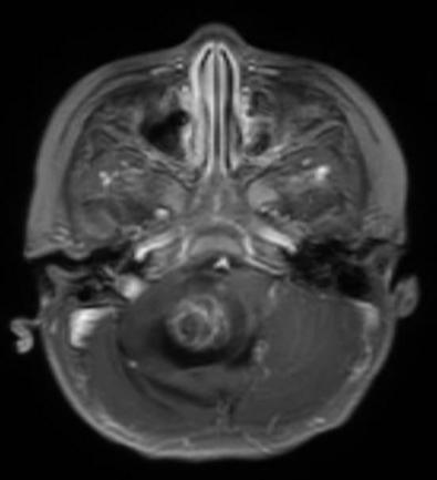
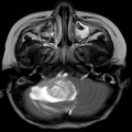
患者详情: 主诉:行走不稳,饮水呛咳20余天 女童2岁2月,患儿于20天前无明显诱因出现行走不稳,持物不稳,饮水时出现呛咳,进食后呕吐,呕吐物为胃内容物,伴有头疼,无共济失调、视力减退,当地医院查头颅CT及MRI提示颅内占位,建议上级医院就诊。遂就诊于我院查头颅CT提示后颅窝占位并梗阻性脑积水,室旁脑白质水肿,MRI提示后颅窝右侧小脑延髓池及桥小脑脚区不规则囊实性肿瘤,病变与小脑半球及小脑蚓部部分界不清,病变内实性成份内可见弥散受限及增强,向下延伸至枕骨大孔水平以下10mm,脑干及小脑明显受压变形。 自发病以来,患儿精神、体力、食欲食量及睡眠情况无特殊。 既往史、个人史及家族史无特殊。
取材部位: 后颅窝占位
医院机构: 首都医科大学附属北京儿童医院
影像学检查:(点击查看大图)   

网友讨论

扫描左侧二维码下载客户端