首页
会议专题
纪小龙专题
CN
/
EN
切片库
胸部疾病全数字病理切片病例云端交流系列活动第二期:胸部疾病活检病理诊断专题讲座及早期肺腺癌冰冻阅片交流会
读片号10
浏览切片一 (麦克奥迪/Motic扫描)
请登录后浏览切片
收藏
0
讨论
1
浏览
2461
本切片由
麦克奥迪/Motic
扫描 感谢支持
临床资料:
女, 63岁
患者详情:
3年前发现双肺斑片结节影, 1个月前复查胸部CT示双肺散在斑片影,左上叶结节较前稍增大
医院机构:
上海肺科医院
大体所见:
肺组织一块,大小6.0*2.5*1.0cm,切面见灰白色结节,直径1.0cm,质软,界清,无包膜,距肺组织切缘1.0cm,近胸膜。
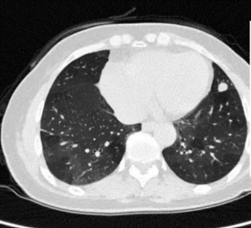
影像学检查:
(点击查看大图)
CT示双肺散在斑片结节影,左肺舌段见一结节,直径约1.2cm
网友讨论
扫描左侧二维码下载客户端
网友讨论