Material: Male, Age 50
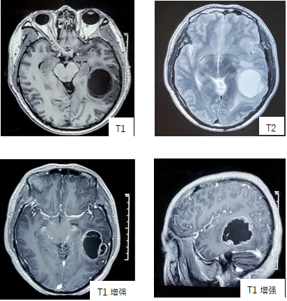
Info: 主诉:记忆力下降3月,语言表达困难1月 病史:50岁男性,3月前家属发现患者出现记忆力下降,反应稍迟钝。近1月来出现语言表达不清、书写困难,并逐渐加重。无恶心、呕吐,无双侧肢体无力,无发作性抽搐,无视力下降。 在当地医院行头颅MRI显示左颞叶占位性病变,囊性,边缘强化明显。 既往史:40年来,左耳中耳炎反复发作,发作时给与滴耳液治疗;3年前诊断为类风湿性关节炎,使用阿达木单抗、来氟米特、甲氨蝶呤等药物治疗。 查体:意识清醒,精神状态良好,情感反应正常,定时定向准确,记忆力良好,语言正常,双侧瞳孔正大等圆,对光反射灵敏。双侧肌力、肌张力未见异常,双侧腱反射正常,双侧巴氏征阴性。 影像学(MR):左侧颞叶界清囊性占位影,T1为低信号伴环形强化,T2呈高信号,囊壁薄、均匀,可见强化,中线脑组织向右有偏移。 术中所见:肿瘤灰白质韧,瘤组织局部囊变,内含囊液。
Sample: 左颞叶病变
Hos/Ins.: 空军军医大学西京医院
Grossly: 送检(左侧颞叶)灰白不整组织,大小约6×5×4cm。
Imaging:(Click to enlarge)

Discussion

Scan to download our APP