| 临床资料: | 男, 67岁 |
|---|---|
| 患者详情: | 患者因“头晕时作伴左侧肢体麻木8天”入院。2023-08-01于连云港市肿瘤医院住院,住院期间查MRI:右侧基底节占位性病变,建议MRI增强及MRS检查,左侧基底节区、放射冠及半卵圆中心多发腔梗,老年性脑伴轻度脱髓鞘改变,头颅MRA动脉硬化狭窄改变;颈椎退行性病变。头颅MRI增强显示:右侧基底节区伴右侧额位结节灶。术中见肿瘤位于岛叶及岛叶深部基底节区,肿瘤组织灰色,鱼冻状。 |
| 取材部位: | 右侧基底节占位 |
| 医院机构: | 江苏省中医院 |
| 大体所见: | 送检灰白灰红色破碎组织一堆,大小共0.6cm×0.5cm×0.4cm,实性、质软,全部取材 |
| 免疫组化: | 阳性:ATRX(+),GFAP(+++),S-100(+++),Vimentin(+++),0lig 0-2(部分+),Ki67(约20%+),P53(强弱不等+) 阴性:CD34,CK-P,IDH-1,H3K2 7M,H3.3G34W 分子检测:TERT启动子突变,EGFR扩增突变,CDKN2A/2B拷贝数缺失 |
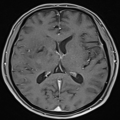
| 影像学检查:(点击查看大图) | 右侧基底节区及海马可见团状异常信号,T1WI呈稍低信号,T2WI呈稍高信号,内见小片状T1低T2高信号影;右侧额叶可见长径约9mm的结节状异常信号,T1WI呈稍低信号,T2WI呈稍高信号。 MRS示右侧基底节区病变较对侧正常区域,NAA(N-乙酰天冬氨酸)峰减低,Cho(胆碱)及Cr(肌酐)峰增高。 DTI示右侧基底节区皮质纤维束部分纤维中断; ASL示右侧基底节区CBF增高,右侧海马区CBF明显增高,右侧额叶结节CBF略增高。考虑肿瘤性病变,胶质瘤可能性大。 |
| 诊断意见: | 登录后可以查看
|


苏公网安备 32011402011742
网友讨论