|
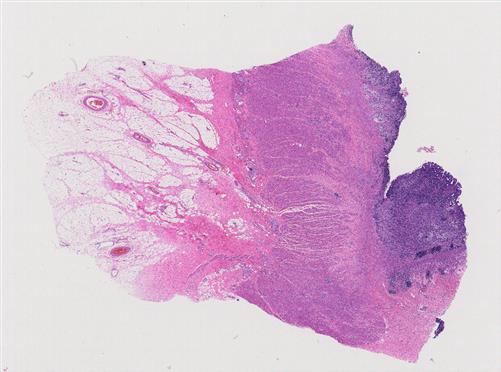
9302 |
左腭 |
 |
女, 30岁, 发现左腭肿物4年余,现逐渐长大,约2cm,带蒂,蒂不大,表面... |
常州市中医院 |
待公布 |
收藏 0
讨论 5
浏览 1441
|
|
9301 |
|
 |
女, 53岁, 无 |
常州市妇幼保健院 |
待公布 |
收藏 0
讨论 2
浏览 1550
|
|
9300 |
背部肿块 |
 |
男, 56岁, 临床诊断:背部肿块 组织名称:背部肿块
病史摘要:患者4个月... |
苏州市立医院本部 |
待公布 |
收藏 0
讨论 3
浏览 1390
|
|
9299 |
|
 |
男, 48岁, 患者,男,48岁,因右上腹部胀痛不适半月余入院,CT示肝左右... |
解放军第904医院 |
待公布 |
收藏 0
讨论 3
浏览 1430
|
|
9298 |
|
 |
女, 51岁, 临床诊断:盆腔肿物 组织部位:盆腔
病史:2021-05-... |
苏州市独墅湖医院 |
待公布 |
收藏 0
讨论 2
浏览 2321
|
|
9297 |
|
 |
女, 36岁, 因消化道出血收住院,胃镜示胃底息肉、浅表胃炎,行胃大部切除。 |
南通大学附属医院 |
待公布 |
收藏 0
讨论 2
浏览 1409
|
|
9296 |
左大腿肿块 |
 |
男, 53岁, 病史:患者2年余前发现左大腿一肿块,当时约鸡蛋大小,无疼痛,... |
苏州市第九人民医院 |
待公布 |
收藏 0
讨论 2
浏览 1682
|
|
9295 |
左肾肿物 |
 |
男, 57岁, 体检发现左肾占位1周。B超提示:左肾占位性病变,建议进一步检... |
南通市第三人民医院 |
待公布 |
收藏 0
讨论 6
浏览 2084
|
|
9294 |
|
 |
女, 40岁, 因“体检发现腹腔占位2周”入院,腹部增强CT:肝脏旁胆囊窝下... |
无锡市人民医院 |
待公布 |
收藏 0
讨论 4
浏览 1831
|
|
9293 |
|
 |
女, 75岁, 乏力 20 余天,查胃镜提示十二指肠壶腹部占位。 |
常熟市第一人民医院 |
待公布 |
收藏 0
讨论 4
浏览 1513
|
|
9292 |
左肾上腺结节 |
 |
男, 80岁, 6 个月前查 CT 左肾上腺结节约 2cm,平素无腰背痛,无... |
南通市第一人民医院 |
有诊断 |
收藏 1
讨论 2
浏览 1839
|
|
9291 |
|
 |
女, 78岁, 体检发现肺上叶前段结节3年,全麻单孔胸腔镜下右肺上叶结节切除... |
常州市肿瘤医院 |
待公布 |
收藏 0
讨论 2
浏览 1320
|
|
9290 |
左颈肿块 |
 |
男, 38岁, 发现颈部肿块半年。 |
江苏省江原医院 |
有诊断 |
收藏 0
讨论 2
浏览 1270
|
|
9289 |
甲状腺右叶 |
 |
男, 59岁, 无 |
江南大学附属医院 |
待公布 |
收藏 0
讨论 3
浏览 1162
|
|
9288 |
左下牙龈 |
 |
男, 70岁, 患者因“37 牙周脓肿一个半月”入院,CBCT 示 37 根... |
张家港市第一人民医院 |
待公布 |
收藏 0
讨论 3
浏览 1335
|
|
9287 |
右前臂肿瘤 |
 |
女, 41岁, 发现右前臂皮下肿块6年,10 天前外院穿刺诊断恶性梭形细胞肿... |
无锡锡山人民医院 |
待公布 |
收藏 0
讨论 3
浏览 1479
|
|
9286 |
头顶部肿块 |
 |
男, 74岁, 患者 10余年前头顶部发现皮肤肿物,高出皮面,约米粒大小,未... |
常州市武进人民医院 |
待公布 |
收藏 0
讨论 2
浏览 1367
|
|
9285 |
左磨牙后区 |
 |
女, 37岁, 患者20余天前始无意中发现磨牙后区黏膜一肿物,约指甲大小,不... |
南通市肿瘤医院 |
待公布 |
收藏 0
讨论 3
浏览 1245
|
|
9284 |
小肠系膜肿瘤 |
 |
女, 46岁, 腹痛腹胀两个月,CT示小肠系膜肿块,肠系膜根部淋巴结肿大。 |
泰兴市人民医院 |
待公布 |
收藏 0
讨论 3
浏览 1092
|
|
9283 |
右部分肾 |
 |
男, 41岁, 发现血压升高2年余,胸痛6月,加重7天 |
江苏大学附属医院 |
待公布 |
收藏 0
讨论 3
浏览 1440
|