91360数字病理云切片库

案例1 (6853)

性别:       年龄:77
患者详情: 患者于2018年5月自己扪及颈部肿块,至仁济医院彩超提示右侧多发淋巴结肿大。来我院门诊复查彩超:甲状腺双侧叶占位-考虑良性病变,随访;右侧颈部及右侧锁骨上淋巴结肿大-建议进一步检查。穿刺活检病理提示淋巴组织不典型增生。今患者为求进一步手术治疗就诊于我院,门诊以“颈部肿块”收入院。患者自发病以来,精神食欲可,夜间睡眠可,二便正常,体重无明显减轻。    辅助检查:门诊复查彩超,甲状腺双侧叶占位-考虑良性病变,随访;右侧颈部及右侧锁骨上淋巴结肿大-建议进一步检查。 介入彩超穿刺活检病理提示淋巴组织不典型增生。 体格检查: T: 36.4℃ P: 65次/分 R: 65次/分 BP:130 /75 mmHg 
医院: 复旦大学附属中山医院

案例2 (6860)

性别:       年龄:73
患者详情: 于手术前10天无意中发现左侧大腿内侧肿物,体检肿物位于皮下,病程不详,无其他有关症状,入院后其他检查无特殊,在全麻下行肿物切除,术中肿物位于皮下
大体所见: 肿物大小3.5*3*2.5厘米
医院: 上海交通大学医学院附属新华医院崇明分院

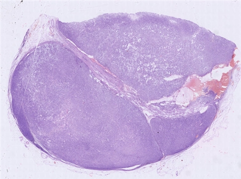
案例3 (6862)

性别:       年龄:65
患者详情: 患者3月余前在当地社区卫生服务中心体检发现血肌酐升高(109.8umo/L),无明显尿量减少,无颜面下肢浮肿无腰酸腰痛,无肉眼血尿,无关节疼痛,无皮疹红斑,开始未重枧及进一步诊治。10余天前患者到中山医院复查生化提示“肌酐200umol/L、尿素7.3mmol/L、尿酸637umol/L、白蛋白34g/L、球蛋白66g/L、蛋白电泳β15.0%、蛋白电泳Y42.6%”,同时其它检查提示“血lgG4 54.20g/L”。 CT:纵隔及双侧腋下多发肿大淋巴结,肺动脉干稍増粗,主动脉硬化,扫及双肾饱满,后腹膜发淋巴结。 PET-T:全身多区域淋巴结肿大、双侧泪腺、双侧颌下腺及胰腺体尾部饱满、双肾实质肿胀,左侧头皮局部增厚,伴FDG代谢增高,鼻咽顶后壁及前列腺腺体FDG代谢增高,上述病灶首先考虑IgG4相关性疾病所致可能,建议暖股沟淋巴结活检病理明确除外淋巴瘤。
大体所见: 结节一枚3*3*2cmA-C。
医院: 上海交通大学医学院附属仁济医院

案例4 (6863)

性别:       年龄:48
患者详情: 患者4月余前体检行胸部CT检查示“右肺上叶混杂磨玻璃结节;纵隔多发肿大淋巴结可能”。3月前来我院门诊就诊,行胸部CT示“中纵隔右侧肿块,请结合穿刺;右锁骨区、纵隔及右肺门多发肿大淋巴结”。行纵隔肿块EBUS,显微镜下“见纤维素样渗出物及少量淋巴细胞、纤维样细胞及支气管上皮细胞,未见恶性依据”。行PET-CT检查示“右纵隔右侧肿块,FDG代谢增高;纵隔、双侧锁骨上小淋巴结,FDG代谢增高”。遂行纵隔肿块切除术。
大体所见: 送检“中纵隔肿瘤”一枚,大小5.5*4.5*4.0cm,包膜完整,切面灰黄质韧,中央见灰白星状瘢痕。
医院: 复旦大学附属肿瘤医院

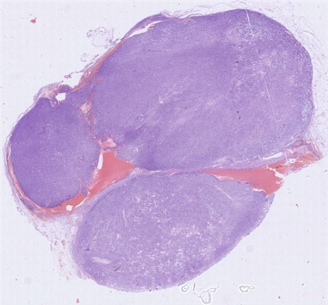
案例5 (6864)

性别:       年龄:62
患者详情: 发现双侧腹股沟肿物1月余。 查体: 双侧腹股沟可扪及多发肿大皮下肿物,大小约2*2cm,质中,边界尚清楚,活动度可,伴压痛,表面皮肤未见红肿破溃。 B超: 双侧腹股沟淋巴结肿大。 病理检查:腹股沟淋巴结穿刺活检提示淋巴组织增生。随行左侧腹股沟淋巴结切除术。
大体所见: 结节状肿物1枚,大小3×2×1.5cm,表面附有包膜,切面灰白灰红色,实性,质中。
医院: 上海长海医院