| 临床资料: | 男, 70岁 |
|---|---|
| 患者详情: | 诊断前列腺癌1年余,再发排尿困难10余天。患者自诉2023-09-21因“排尿困难1年余”在我院住院治疗,完善检查,排除手术禁忌症后于2023-09-28行经尿道前列腺激光切除术,术后病理提示:(前列腺组织)前列腺腺泡腺癌,术后好转后出院,术后予醋酸亮丙瑞林、比卡鲁胺片,但未规律治疗,已停药2个月。 10余天前患者开始出现尿线变细、尿无力、排尿等待,伴夜尿增多,约4-5余次/晚,伴尿频、尿急,无明显肉眼血尿及尿流中断,无腰痛、胀,无腹泻、腹胀,无恶心、呕吐,无畏寒、发热等症状。患者精神、食欲、睡眠可,大便干结,便秘,小便如前所述,体重无明显变化。 |
| 医院机构: | 右江民族医学院附属医院 |
| 大体所见: | (前列腺组织)灰白组织碎组织一堆,合大5.0cm×3.0cm×1.0cm。 |
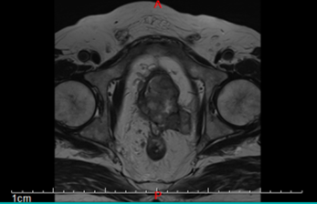
| 影像学检查:(点击查看大图) | 平扫:前列腺区见多发结节融合成团状异常信号,形态不规则、局部呈菜花状改变,边界欠清,范围约61mm×34mm×64mm,病变在T1WI上呈等信号,在T2WI上信号不均匀,呈等信号内见不规则团片状稍高信号,周围脂肪间隙模糊,病变与双侧精囊腺、膀胱后壁、直肠后壁、左侧闭孔内肌分界不清,直肠下段前部脂肪间隙消失,左侧精囊角消失;膀胱充盈欠佳,膀胱壁不规则稍增厚,最厚径约7mm。盆腔、双侧腹股沟、髂血管旁区见多发肿大淋巴结,较大大小约22mm×14mm。 增强:前列腺区见病变呈不均匀轻度环形强化,病变侵犯邻近直肠,相应肠管管壁增厚呈类似强化;盆腔、双侧腹股区、髂血管旁区肿大淋巴结呈轻度不均匀强化。增厚膀胱壁呈明显强化;余未见异常强化表现。 与2023-09-23 前列腺MRI对比:前列腺癌术后改变,前列腺区见多发结节融合成团状异常信号,新见左侧闭孔内肌、直肠后壁受累,左侧精囊角消失,髂血管旁区见多发肿大淋巴结,盆腔、双侧腹股沟淋巴结较前稍增多,其余所见大致相仿。 影像诊断意见: 前列腺癌(UICC分期:T4N1Mx IV期),双侧精囊腺、膀胱后壁、直肠后壁、左侧闭孔内肌受累,盆腔、双侧腹股沟、髂血管旁区见多发肿大淋巴结,复查病变较前进展。 |



苏公网安备 32011402011742
网友讨论