| Material: | Male, Age 58 |
|---|---|
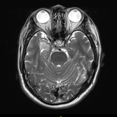
| Info: | 突发意识不清,手脚僵硬11天,患者于2022-03-18无明显诱因下意识不清,手脚僵硬,牙关紧闭,口角向左歪斜,10余分钟后自行缓解,事后不能回忆,当地头颅MRI示右侧颞叶-海马区占位,考虑低级别胶质瘤。遂于2022-03-29入我院拟手术治疗。既往史、个人史、家族史均无特殊。 手术所见:肿瘤组织位于深部,呈暗灰色,质地稍硬,与周围脑组织境界不清,血供一般。 |
| Sample: | 右侧颞叶-海马区占位 |
| Hos/Ins.: | 江苏省人民医院 |
| Grossly: | 灰白灰红脑组织一堆,大小合计4*3.2*1.5cm,大部分为正常组织,可见局灶灰白质嫩区,大小约1.5*1.5*0.7cm。 |
| Imaging:(Click to enlarge) |





32011402011742
Discussion