|
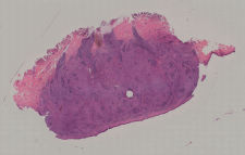
8898 |
腹股沟淋巴结 |
 |
女, 31岁, 患者于2021-08无意中发现腹股沟淋巴结进行性肿大,外院手... |
江苏省肿瘤医院 |
有诊断 |
收藏 1
讨论 4
浏览 1905
|
|
8897 |
骨髓穿刺活检 |
 |
女, 59岁, 2015年12月因“发热伴咳嗽”在江苏省中医院急诊查血常规示... |
江苏省中医院 |
有诊断 |
收藏 0
讨论 2
浏览 2910
|
|
8896 |
耳后淋巴结(2204491)及皮肤(P2200781) |
 |
男, 38岁, 因“左侧背部暗红色斑块 8 年”入院。患者8年前左侧背部上侧... |
东南大学附属中大医院 |
有诊断 |
收藏 1
讨论 2
浏览 2139
|
|
8895 |
颈部淋巴结 |
 |
男, 37岁, 因“多处淋巴结肿大1月余,低热伴胸痛3天”入院,患者1月前无... |
南京市中医院 |
有诊断 |
收藏 1
讨论 3
浏览 2080
|
|
8894 |
右颈部淋巴结 |
 |
男, 2岁, 患儿1年余前出现反复全身多处淋巴结肿大,伴红肿热痛,多次外院... |
南京市儿童医院 |
有诊断 |
收藏 0
讨论 3
浏览 1744
|
|
8893 |
右上臂皮肤肿块 |
 |
女, 71岁, 右上臂皮肤肿块。门诊患者,其他不详。 |
南京市溧水区人民医院 |
有诊断 |
收藏 0
讨论 3
浏览 1787
|
|
8892 |
左侧颈部淋巴结 |
 |
男, 64岁, 淋巴细胞增殖性疾病、颈淋巴结肿大。患者于两月前发现左侧颈部有... |
南京江北医院 |
有诊断 |
收藏 0
讨论 3
浏览 1647
|
|
8891 |
前列腺及精囊,淋巴结 |
 |
男, 79岁, 前列腺恶性肿瘤 |
南京鼓楼医院 |
有诊断 |
收藏 0
讨论 3
浏览 1708
|
|
8890 |
距门齿38cm |
 |
男, 33岁, 患者既往1年余来反复出现腹泻,平均每日4-5次,糊状便,无粘... |
江苏省人民医院 |
有诊断 |
收藏 1
讨论 4
浏览 1882
|
|
8889 |
胃窦前壁*2:胃窦后壁*2;胃角*2 |
 |
女, 13岁, 呕血1次。患儿今日13:00左右进食后呕吐一次,非喷射性,呕... |
南京医科大学第二附属医院 |
有诊断 |
收藏 0
讨论 2
浏览 2627
|
|
8888 |
左侧腹股沟淋巴结 |
 |
男, 73岁, 患者1月前无透因下出现咳嗽不适,休息后无好转,颈部淋巴结彩超... |
南京明基医院 |
有诊断 |
收藏 0
讨论 2
浏览 1632
|
|
8887 |
1.左鼻腔肿物,2.右鼻腔肿物,3.左下鼻甲肿物 |
 |
男, 72岁, 半年余前无明显诱因出现双侧鼻塞伴流脓涕,左侧较重,常有头痛,... |
南京市第一医院 |
有诊断 |
收藏 0
讨论 1
浏览 2627
|
|
8886 |
|
 |
男, 36岁, 患者自己触及双侧颈部淋巴结肿大,B超探及双侧颈部、腋窝及腹股... |
南京市江宁医院 |
有诊断 |
收藏 0
讨论 3
浏览 1896
|
|
8885 |
右上肺 |
 |
男, 69岁, 患者因“发现右上肺结节1年余”入院。患者于2021年1月26... |
解放军东部战区总医院 |
有诊断 |
收藏 1
讨论 4
浏览 1979
|
|
8884 |
腹膜后 |
 |
男, 70岁, 因腹部不适就诊 |
复旦大学附属肿瘤医院 |
待公布 |
收藏 0
讨论 0
浏览 1397
|
|
8883 |
腹水 |
 |
女, 58岁, 因腹腔积液,左乳癌术后就诊 |
复旦大学附属肿瘤医院 |
待公布 |
收藏 0
讨论 0
浏览 1238
|
|
8882 |
右侧甲状腺 |
 |
男, 58岁, 甲状腺结节复查 |
复旦大学附属肿瘤医院 |
待公布 |
收藏 0
讨论 0
浏览 1205
|
|
8881 |
肝脏 |
 |
男, 71岁, 体检发现肝占位 |
复旦大学附属肿瘤医院 |
待公布 |
收藏 0
讨论 0
浏览 1293
|
|
8880 |
右侧支气管刷检脱落细胞学 |
 |
男, 64岁, 咳嗽咳痰1月余 |
上海市肺科医院 |
待公布 |
收藏 0
讨论 0
浏览 1214
|
|
8879 |
右侧胸腔积液 |
 |
女, 56岁, 反复咳嗽2月。行CT检查 |
上海市肺科医院 |
待公布 |
收藏 0
讨论 0
浏览 1215
|