91360数字病理云切片库

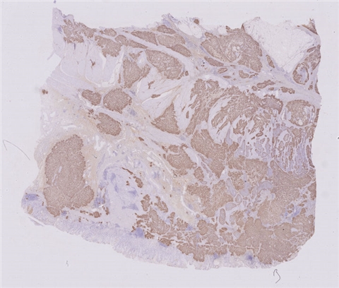
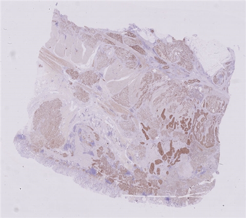
案例1 (6956)

性别:       年龄:71
患者详情: 发现肛门肿物8月余,大便带血次数增多。外院病理检查:腺癌伴类癌分化。
大体所见: 肠管一段,直径3cm,长22cm,紧邻肛侧切缘、距另一侧切缘19cm处可见一菜花样肿物,大小6*6*5cm,切面灰白灰红色,质脆,侵及肠管全层,共取11块。

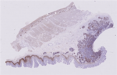
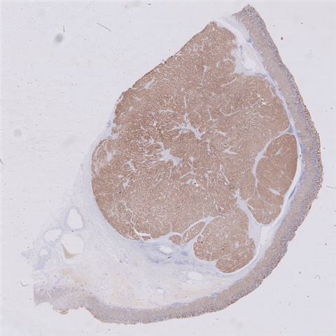
免疫组化: 蜡块一:CD20(-)、PAX-5(-)、CD3(-)、CD43(-)、EMA(局灶弱+)、CKL(-)、CK8/18(+)、CgA(-)、syn(+)、CD56(+) 蜡块二:GST-π(+/-)、TOPOII(+)、PGp(3+)、EGFR(-)、VEGF(+/-)、P53(小于3%+)、CERbB-2(-)
医院: 九江学院附属医院

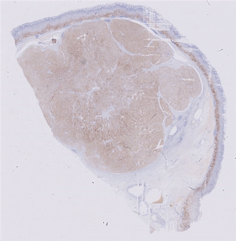
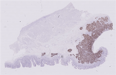
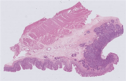
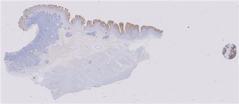
案例2 (6957)

性别:       年龄:64
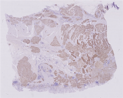
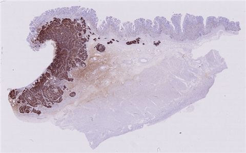
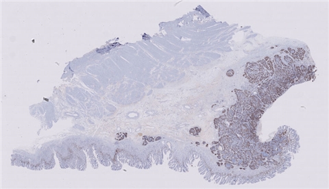
患者详情: 患者4月前开始出现上腹胀痛不适,进食后加重,伴梗咽感,不伴恶心呕吐、腹泻便秘、畏寒发热等不适,因症状持续遂当地医院就诊,行电子胃镜检查示:贲门-胃体CA? 胃镜:贲门、胃底见一大小约2.0*1.5厘米不规则溃疡面,覆污苔,取检质脆易出血,粘液湖清。 CT:贲门胃底区壁不规则增厚并软组织肿块影,边界不清,突向腔外,邻近胃周脂肪毛糙,增强呈明显不均匀、持续性强化,胃周结构层次毛糙,胃周见稍大淋巴结,呈中等欠均匀强化。贲门胃底区增厚并肿块,胃周浸润,请结合胃镜检查。 肿瘤标志物:CEA、CA199、CA125均正常
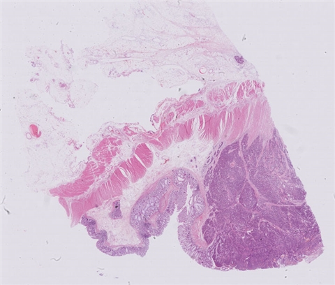
大体所见: 全胃切除标本:大弯长24cm,小弯长15cm,附网膜14*11.5*5cm,距贲门切缘2cm处于小弯侧见4.5*4.5*2.5cm溃疡性肿物,切面灰白色,实性,质硬,肉眼侵及全层。
医院: 南昌大学第二附属医院

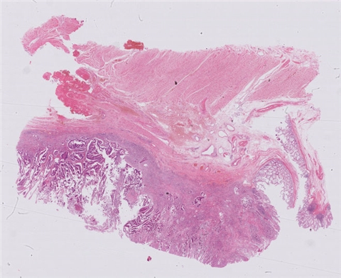
案例3 (6959)

性别:       年龄:41
患者详情: 患者诉1天前无明显诱因出现脐周腹痛,持续性钝痛,不向远处部位放射,进食后感恶心,无呕吐,无发热、腹泻等不适,后腹痛逐渐转移至右下腹,遂来我院诊治,门诊拟“急性阑尾炎”收住入院,临床拟急性阑尾炎行手术切除。
大体所见: 阑尾一条,长4.0厘米,管径0.7-0.9厘米,浆膜面灰白色、附有脓苔。
免疫组化: 肿瘤细胞:CDX-2(+)、CEA(+)、CK(+)、ECD(+); P53(+),SATB-2(+),CD56(少量+),CgA(-),syn(+)
医院: 赣州市人民医院

案例4 (6960)

性别:       年龄:10
患者详情: 主诉:视物模糊1月余,发现抽搐、双下肢活动障碍、声音嘶哑10余天。 10-6 CT示腹膜后不规则软组织占位; 10-16彩超示腹主动脉周边前侧肾动脉平面可见一大小约为44*48*25mm的低回声团块,临近腹主动脉,边界尚清晰,形态欠规则,内部回声不均匀,未及明显钙化及液性暗区。
大体所见: 结节状组织一个: 4. 2cm*3cm*2.3cm,切面灰红灰黄。
免疫组化: NSE(3+)、Syn(3+)、CgA(3+)、CD99胞质(+)、WT-1(+)、INI-1(+)、CK广谱(-)、CD10(-)、TFE3(-)、Inhibina(-)、HMB45(+)、CD56(3+)、TLE1(-)、S-100(+)、Pax-8(+)、calretin(-)、Alk(-)、Fil-1(-)、CyclinD1(-)
医院: 江西省儿童医院

案例5 (6962)

性别:       年龄:59
患者详情: 患者因“腹部胀痛不适10余年,加重7天”入院。 2019年2月21日前往吉水县人民医院行腹部CT提:1.肝脏多发富血供占位,考虑恶性肿瘤性病变,HCC可能性大,不除外转移瘤。 胃镜提示:1.胃底静脉曲张(中度) 2.食管多发性乳头状瘤 3.慢性浅表性胃炎(糜烂型窦为主) 肝炎系列提示小三阳,维生素,血常规,尿常规未见明显异常。肠镜检查未见明显异常 我院实验室检查:CEA组合(1)(男性防癌普查):甲胎蛋白:6.86ng/mL;癌胚抗原:1.02ng/mL;细胞角质蛋白19片段:243ng/mL;总前列腺特异抗原:0.943ng/mL;游离前列腺特异原:0.76ng/mL;f/t(PSA比值):0.29;神经特异性烯醇化酶:45.14ng/m;人绒毛膜促性腺激素:0.1mU/mL;铁蛋白:1645ng/mL;鳞状上皮癌细胞抗原:0.7ng/mL;β2微球蛋白测定:2361.959ug/L;糖类抗原测定:71U/m;肝炎系列(定量)加HIV加TP:乙肝表面抗原(定量):363.47ng/mL;乙肝e抗体(定量):11.37DRU/ml;乙肝核心抗体(定量):12.10DRU/ml;乙肝病毒前S1抗原:阳性(+)。 PET-CT:1.胰腺体尾部软组织肿块影伴代谢活性增高,首先考虑胰腺癌2.肝内多发异常密度灶,首先考虑肝内多发转移灶3.胰腺体部前方淋巴结肿大伴代谢活性增高,首先考虑淋巴结转移灶 2019-03-12 1.在全麻下行胰腺肿瘤活检术+左肝外叶切除术,术后病理:考虑为神经内分泌肿瘤。免疫组化:高分化神经内泌癌。患者目前术后恢复顺利,进食可,目前考虑诊断:1.胰腺高分化神经内分泌癌2.肝脏转移瘤3.门静脉高压 2、给予依维莫10mg PO gd靶向治疗 3、肝脏给予行TACE术治疗:并给予护肝、抗病毒、中成药抗肿瘤治疗
取材部位: 胰腺
大体所见: 左肝外叶组织一块,大小为8.5×5.5×2.5c,已切开,切面灰黄、质中,内见直径0.2cm灰红质中结节。另送左肝外叶组织二块,大小共为1.5×1×0.4cm。另送胰腺肿瘤组织大小共为0.8×0.5×0.3cm,切面灰白,质中。

免疫组化: 1902672-1:CEA(-)、CD34( +)、CgA、(+)、CK(+)、CK8/18(+)、CK19(-)、Syn(+)、Heppar-1(-)、1902672-3:CD34(+)、CgA(+)、Heppar-1(-)
医院: 江西省肿瘤医院

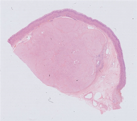
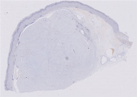
案例6 (6963)

性别:       年龄:49
患者详情: 左颈侧区包块渐进性增大20余天。 患者于入院前20余天无意间发现左颈侧区一大小约1*1cm包块,质硬,移动度可,边界清楚,无压痛,局部无破溃,呈渐进性增大,现大小约3*1.5cm,无畏寒发热,无胸闷气逼,无咳嗽咳痰,无心悸心慌等不适,外院彩超示:左侧颈侧区肿大淋巴结(以锁骨上窝明显),部分淋巴门消失,右侧颈侧区未见明显肿大淋巴结,甲状腺未见异常。 头胸颈部CT(1300287):头颅CT平扫未见异常。左侧颈部软组织密度肿块,建议增强扫描。 血肿瘤标志物正常。
取材部位: 颈部包块
大体所见: 行颈部包块穿刺:送检组织灰白灰红色碎组织约0.2cm×0.2×0.1cm。
免疫组化: 20162417:CgA(+)、Syn(+/-)、CK8/18(+)、CKP(+)、CDX-2(+)、CK19(+)、Villin(+)、CK20(-)、CK7(-)、AFP(-)CD20(-)、CD3(-)、CD34(血管内见肿瘤细胞)、GATA-3(-)、P40(-)、PSA(-)、TTF-1(-)
医院: 景德镇市第二人民医院

案例7 (6972)

性别:       年龄:43
患者详情: 半月前,无明显诱因出现头晕,无恶心呕吐,无发热乏力等不适,CT显示胃体部腔内见一直径约2.06cm结节影,增强扫描不均匀强化,影符合间质瘤表现,请结合组织学检查。电子胃镜示:胃体溃疡性肿物并出血,胃窦溃疡。胃体肿物考虑间质瘤可能。
医院: 南昌大学第二附属医院

案例8 (6967)

性别:       年龄:69
患者详情: 患者因上腹部疼痛1年余,2020年05月19日于我院行胃镜检查示:胃窦部可见一巨大溃疡,底深凹,覆白苔,周围堤坝状,活检弹性可。
大体所见: 送检远端胃:小弯侧长8cm,大弯侧长16cm,临床已沿大弯侧剪开,距下切端4cm处小弯侧见一溃疡,大小1.8X1.5X00.3cm,切开切面灰白质韧,黏膜层与肌层游离。
医院: 南昌大学第一附属医院

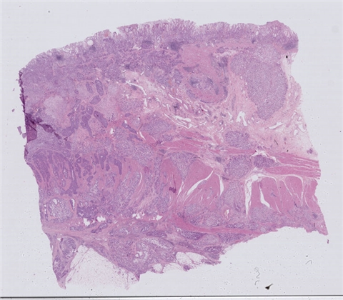
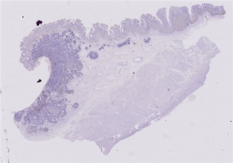
案例9 (6975)

性别:       年龄:41
患者详情: 患者于半年前无明显诱因出现大便带血,为暗红色血便,未见粘液脓血便,反复发作,无腹痛腹胀,伴大便次数增多,并大便不成形,逐渐变细,初未引起重视,亦未行相应治疗,后症状逐渐加重。为进一步诊治,2020年3月入住我院。 直肠指诊:括约肌紧张度:正常,狭窄:无,触痛:无,距离肛门口大约4cm可及一环直肠一周肿块,质硬,移动度差,无压痛,指尖稍可通过肿块,指套染血:有。 电子肠镜示:距肛门4cm直肠处可见一巨大新生物,中间凹陷,底覆污秽苔,环2/3腔生长,钳取6块送病理,余 结肠各段粘膜光整,血管纹理清晰,未见明显的溃疡、息肉。 活检病理示:恶性肿瘤。后行腹腔镜直肠癌根治术。
大体所见: 1、直肠癌肿物:已切开肠管一段,长10cm,一侧切缘周长4cm,另一侧切缘已缝合,长3cm,紧邻缝合切缘见一溃疡型肿物,大小4.5*4*3cm,肿物切面灰白灰黄色、质硬,与周围组织分界欠清,侵及全层。
2、上切缘:灰褐色黏膜组织一块,大小1*1*0.4cm。
3、下切缘:灰褐色黏膜组织一块,大小1.2*1*0.4cm。
免疫组化: 2002032-004#:CgA(弱+)、syn(+)、CD56(+)、 2002032-002#:CK(+)、TTF-1(+)、CD34 +、SMA(-)
医院: 赣南医学院第一附属医院