| 临床资料: | 女, 87岁 |
|---|---|
| 患者详情: | 患者2周前于上海华东医院体检发现双侧颈部多发肿大淋巴结(左侧大者14*6,右侧大者16*8),触之无压痛,质韧,表面光滑,活动度可,血常规:血小板48*109/L,红细胞3.25*1012/L,血红蛋白97g/L,白细胞4.5*109/L。患者无畏寒发热,无盗汗,无恶心呕吐、头晕头痛,无咳嗽咳痰、呼吸困难、腹痛腹胀,无皮肤瘀点瘀斑,无皮肤巩膜黄染等异常。2019.12.18长征医院PET-CT示双侧颈深间隙、颈后三角区、双侧锁骨上窝、纵膈、右侧心隔角区、双侧腋下、肝门区、门腔静脉间隙、腹膜后及两侧腹股沟多发淋巴结伴FDG代谢增高,脾大伴FDG代谢增高,均考虑为淋巴瘤可能,建议活检。复查血常规:血小板70*109/L,红细胞3.39*1012/L,血红蛋白103g/L,网织红细胞2.21%,网织红细胞绝对数74.9*109/L,予艾曲泊帕乙醇胺片升血小板治疗。患者自发病以来,精神、夜眠可,胃纳稍差,二便正常,半年来体重下降约10kg。 |
| 医院机构: | 同济大学附属东方医院 |
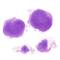
| 大体所见: | 颈部淋巴结4枚,直径0.2cm,0.4cm,0.8cm和1cm。 |
网友讨论