| Material: | Female, Age 65 |
|---|---|
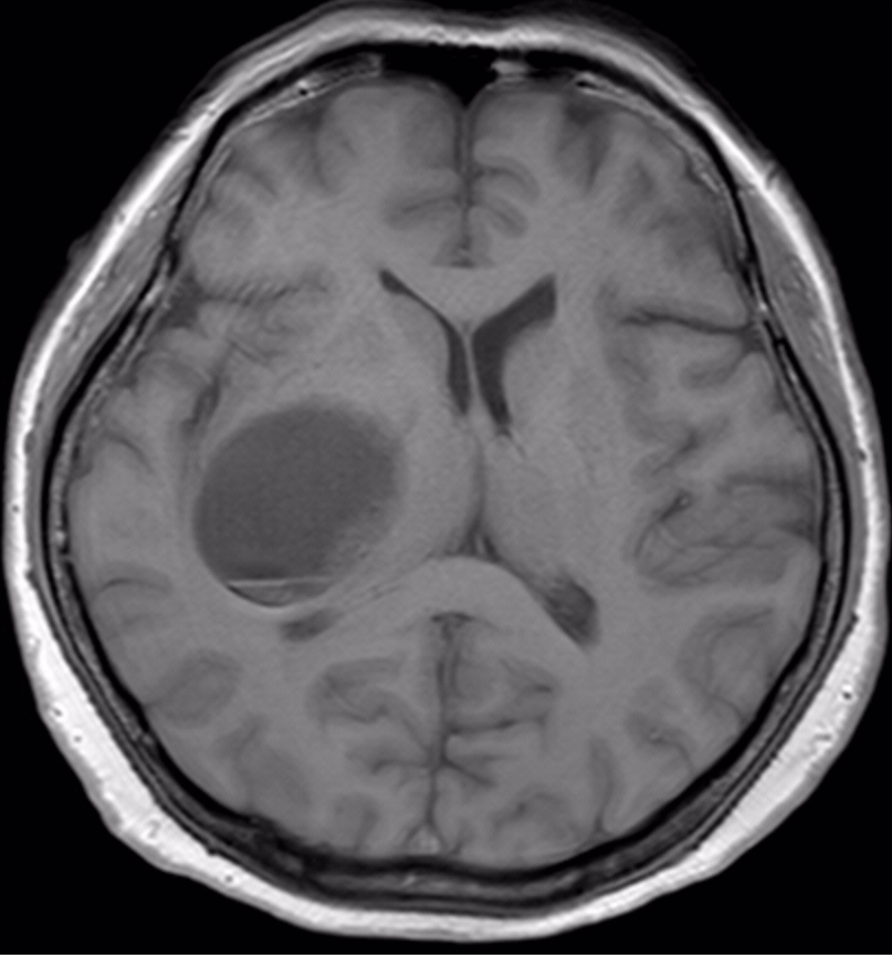
| Info: | 患者因“颅内占位术后一年,头晕一月余”入院。患者1年前因“右侧基底节区胶质瘤”在外院手术治疗,术后病理示胶质母细胞瘤,WHO 4级。术后留有左侧肢体瘫痪,定期化疗,复查。1月前患者出现头晕不适,偶有恶心,无呕吐,神志清楚,偶有小便失禁。外院复查MR:强化范围较前增大。术中肿瘤组织呈鱼肉样,质地中等,与脑组织边界不清,予以一并切除。 |
| Sample: | 右侧基底节 |
| Hos/Ins.: | 南京明基医院 |
| Grossly: | 灰红灰黄色碎组织一堆,共大小8×8×2cm,部分切面灰白灰红、质嫩。 |
| Imaging:(Click to enlarge) | MRI示右侧基底节异常信号,T1等低信号,T2高信号,增强可见明显强化,考虑高级别胶质瘤。 |




32011402011742
Discussion